QUIRKY SCIENCE

Protein sequencing solves Darwinian mystery

Scientists have resolved pieces of a nearly 200-year-old evolutionary puzzle surrounding the group of mammals that Charles Darwin called the "strangest animals ever discovered." New research led by the Natural History Museum, the American Museum of Natural History and the University of York shows that South America's native ungulates, or hooved mammals – the last of which disappeared only 10,000 years ago – are actually related to mammals like horses rather than elephants and other species with ancient evolutionary ties to Africa as some taxonomists have maintained. Published in the journal Nature, the findings are based on fossil protein sequences, which allow researchers to peek back in time up to 10 times farther than they can with DNA.

With modern techniques, the researchers were able to conclusively show that the closest living relatives of these species were the perissodactyls, the group that includes horses, rhinos, and tapirs. This makes them part of Laurasiatheria, one of the major groups of placental mammals.
Source: sciencedaily.com 

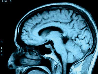
Brain networks differ among those with severe schizophrenia

People with a severe form of schizophrenia have major differences in their brain networks compared to others with schizophrenia, bipolar disorder and healthy individuals, a new study from the Centre for Addiction and Mental Health (CAMH) shows.
The study, which used a novel approach to map brain networks, was led by researchers at the Campbell Family Mental Health Research Institute at CAMH and published in this week's JAMA Psychiatry.
Schizophrenia, which affects one in 100 people, is generally known for symptoms of delusions and hallucinations, which can be treated with antipsychotic medications. However, lack of motivation and social withdrawal are also characteristic symptoms of the illness. These are known as negative symptoms.
Approximately one in five people with schizophrenia experience these negative symptoms in a pronounced way, says lead author Dr. Anne Wheeler, CAMH post-doctoral fellow. At this point, there is no treatment for negative symptoms, yet they have the greatest impact on a person's daily functioning once the psychosis is managed.
The study involved magnetic resonance brain imaging (MRI) with 128 people with schizophrenia and 130 healthy individuals at two sites, and with 39 patients with bipolar disorder and 43 healthy individuals at a third site. Patients with bipolar disorder also experience psychotic symptoms but not negative symptoms, so these patients served as an additional comparison group. The three sites were at CAMH, the Zucker Hillside Hospital in Glen Oaks, New York, and the Central Institute of Mental Health in Mannheim, Germany.
Source: sciencedaily.com